Talismaanin kennel
Home
About Us
History
Siberian Husky
Kuvasz
Dogo Argentino
Our Dogs
Hens
Shows
Races
Puppies
Litters
Memorial
Contact
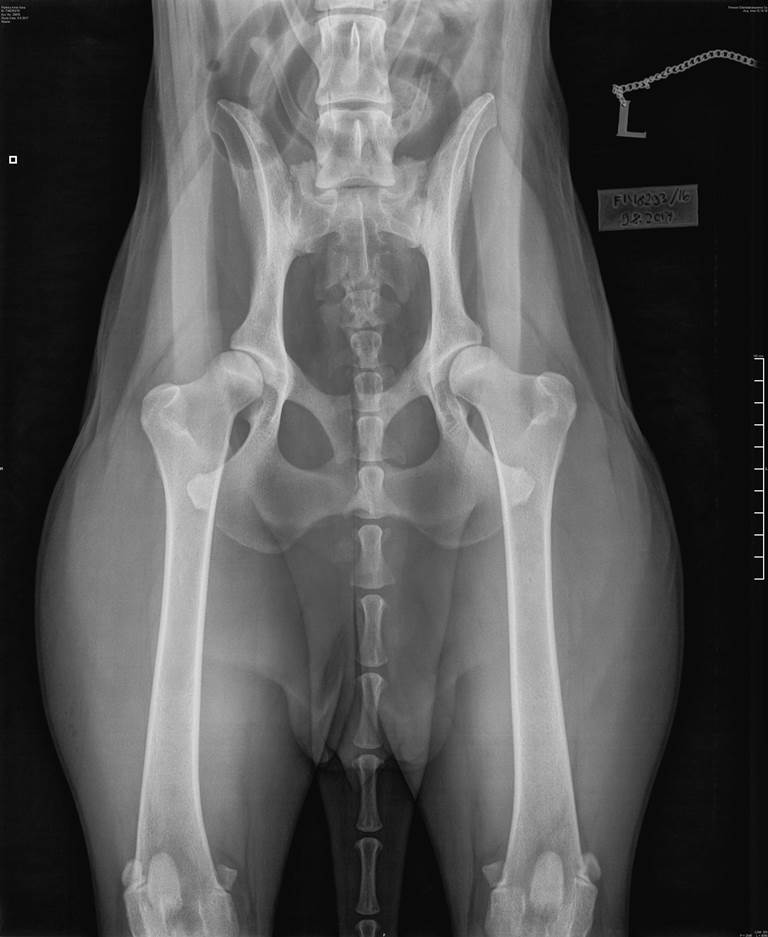
Ilona's hip X-ray